Veneers in Köln – mit Lumineers und Veneers zu schönen Zähnen und einem perfekten Lächeln
Sie wünschen sich makellose, strahlend schöne Zähne? Ein natürliches Lächeln mit perfekter Zahnästhetik? Dann haben wir – Dr. Melchior & Team, die Zahnärzte im Mediapark – mit Veneers die ideale Lösung für Sie. Erfahren Sie hier, was Veneers sind, wie die Behandlung mit Veneers abläuft, was der Unterschied zu Lumineers ist und wie viel Veneers kosten.

Was sind Veneers?
Veneers sind extrem dünne Verblendschalen aus Keramik, die mit einem speziellen Verfahren auf den Fronten der natürlichen Zähne angebracht werden. Sie wirken wie ein Furnier, was zugleich die wörtliche deutsche Übersetzung von „Veneer“ ist, und sind gerade einmal 0,3 bis 0,5 Millimeter dick. So fallen Veneers später überhaupt nicht auf. Wir unterscheiden dabei zwei Arten von Veneers:
- Prep-Veneers und
- Non-Prep-Veneers oder Veneers-to-Go
Für die Prep-Veneers ist eine kleine Vorbehandlung erforderlich. Hierbei wird die Zahnsubstanz präzise und schonend etwas angeschliffen, um die Befestigung der Veneers zu ermöglichen.
Daneben existieren auch Non-Prep-Veneers oder Veneers-to-Go wie die Lumineers, die auch ohne Vorbehandlung zuverlässig eine perfekte Zahnästhetik schaffen.
Hier helfen Ihnen Veneers zu makellosen Zähnen
Die hauchdünnen Keramikschalen sind häufig eine Alternative, wenn andere ästhetische zahnheilkundliche Verfahren keine überzeugenden Ergebnisse schaffen können. Lumineers und Veneers können
- Zahnfehlstellungen wie schiefe Zähne oder Zahnlücken,
- beschädigte Zähne mit abgebrochenen Ecken oder Rissen,
- ungleichmäßig große Zähne,
- sichtbare Füllungen und
- stark oder tief verfärbte Zähne
durch eine strahlend weiße, ebenmäßige Keramikfront ästhetisch korrigieren.

Kein zweiter Dentalwerkstoff kommt dem natürlichen Zahnschmelz dabei optisch so nah wie die Keramik, die beliebig an die Farbe der Nachbarzähne angepasst werden kann und zudem lichtdurchlässig erscheint. So wirkt die Keramik wie echter Zahnschmelz, was die Behandlung mit Veneers absolut unauffällig macht. Daneben gibt es noch weitere Pluspunkte:
Vorteile von Veneers
Veneers haben folgenden Vorteile:
- Die Verblendschalen schaffen eine natürlich wirkende Zahnreihe mit perfekter Ästhetik.
- Veneers halten über viele Jahre hinweg zuverlässig und bieten damit eine langfristige ästhetische Versorgung Ihrer Zähne.
- Veneers verfärben sich nicht und auch Zahnbeläge können nicht so leicht entstehen.
- Veneers lassen sich sehr gut benachbarten natürlichen Zähnen in Farbe oder Form anpassen.
- Genauso ist mit Veneers eine vollständige Neugestaltung beeinträchtigter Zahnreihen möglich.
- Auch mit Vorbehandlung ist die Versorgung mit Veneers schonend und schmerzfrei.
- Veneers-to-Go ermöglichen eine Versorgung bei nur einem einzigen Zahnarztbesuch.
- Veneers haben ähnliche physikalische Eigenschaften wie echter Zahnschmelz – z. B. in Bezug auf die Temperaturleitfähigkeit.
- Auch preisbewusste Lösungen mit Veneers aus Kunststoff statt Keramik sind möglich.
Erfahren Sie gleich, welche unterschiedlichen Arten von Veneers es gibt.
Veneers-Arten
Es werden vier Arten von Veneers unterschieden:
- klassische Veneers
- Non-Prep-Veneers
- Sofort-Veneers oder Veneers-to-Go und
- Komposit- oder Kunststoff-Veneers
Klassische Veneers
Die klassischen Veneers sind im Vergleich zu anderen Veneer-Arten dicker, aber auch vielseitiger. Sie werden bereits seit fast einem Jahrhundert in der ästhetischen Zahnheilkunde genutzt. Die früheren Verblendschalen waren dabei bis zu mehrere Millimeter dick. Heute verwenden wir klassische Veneers aber nur noch mit Materialstärken von weniger als einem Millimeter.

Die Zahnsubstanz präparieren wir dann immer immer passend zur Stärke der Veneers, damit die Veneers später nicht auffallen. Durch ihre relative Dicke kaschieren die klassischen Veneers auch tiefliegende, dunkle Zahnverfärbungen oder größere Zahndefekte.
Non-Prep-Veneers
Non-Prep-Veneers sind die moderne Weiterentwicklung der klassischen Veneers. Sie besitzen zwei große Vorteile: Non-Prep-Veneers sind wesentlich dünner und können ohne Vorbehandlung (Abschleifen) auf den Zähnen angebracht werden. Die natürliche Zahnsubstanz bleibt somit hundertprozentig erhalten.
Allerdings eignen sich die Non-Prep-Veneers für wesentlich weniger Korrekturen als klassische Veneers: zum Abdecken kleinerer Zahnlücken, für leichte Verbesserungen der Zahnform oder als Verblendung geringer Verfärbungen.
Zu diesen Non-Preps-Veneers zählen auch die Lumineers, eine besonders hochwertige Veneers-Variante und Marke aus den USA.
Veneers-to-Go
Im Unterschied zu klassischen Veneers oder den Non-Prep-Veneers bilden Veneers-to-Go keine individuelle Versorgung. Diese Sofort-Veneers sind vorgefertigte Verblendschalen, die nur noch minimal angepasst werden können. Ihre Farbe und Form stimmt daher häufig nicht mit den restlichen Zähnen überein.
Veneers-to-Go sind quasi Stangenware. Das macht sie zu einer günstigen, aber oftmals ästhetisch nicht vollends überzeugenden Lösung.
Kunststoff-Komposit-Veneers
Kunststoff-Veneers lassen sich schnell und günstig in der zahnärztlichen Praxis anbringen. Dafür müssen Patienten aber einige Nachteile in Kauf nehmen. Diese Veneers wirken weniger natürlich und fallen außerdem bei der Haltbarkeit deutlich hinter Keramik-Veneers zurück.
Für wen eignet sich die Behandlung mit Veneers in Köln und für wen nicht?
Die Versorgung mit Veneers oder Lumineers in Köln ist grundsätzlich möglich bei allen Patientinnen und Patienten mit
- Zahnverfärbungen oder unregelmäßigen Zahnoberflächen,
- anderen Defekten des Zahnschmelzes,
- leichten Zahnfehlstellungen und kleinen Zahnlücken oder
- abgebrochenen und abgesplitterten Zahnecken und -kanten.
Wir können Veneers allerdings nicht empfehlen
- für Ball- und Kampfsportler,
- bei sehr großen Füllungen in den Zähnen und
- bei Zähneknirschen oder
- Nägelkauen.
Am Ende müssen wir die Möglichkeit einer Behandlung mit Veneers immer individuell einschätzen und nach einer Befundung in einem persönlichen Gespräch mit Ihnen näher erörtern.
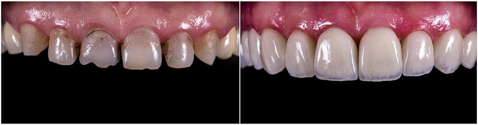
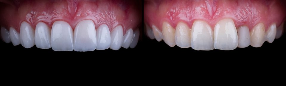
Veneers: Vorher und Nachher

Front- und vordere Seitenzähne bilden einen ästhetisch besonders sensiblen Bereich in den Zahnreihen. Jede Patientin und jeder Patient benötigt hier eine individuelle Versorgung mit Veneers oder Zahnersatz.
Die Dokumentation der Vorher-Nachher-Behandlungsergebnissen von anderen Patienten, wie wir sie hier zeigen, kann Ihnen helfen zu entscheiden, ob Veneers das Richtig für Sie sind.

Zusätzlich arbeiten wir in unserer zahnärztlichen Praxis in Köln bei Veneers regelmäßig mit sogenannten Mockups – individuell geformten Attrappen oder Vorführmodellen, die Ihnen genau zeigen, wie Ihre Veneers später einmal aussehen werden oder wie gut das Kauen und Sprechen mit den Veneers funktioniert. Und wie sieht es mit der Haltbarkeit aus?
Wie lange halten Veneers?
Hochwertige Veneers aus Keramik erreichen bei guter Pflege leicht eine Haltbarkeit von bis zu 15 Jahren. Die besonderen Lumineers können sogar bis zu 20 Jahren halten – für die ersten fünf Jahre gibt der Hersteller sogar eine Garantie.
Kunststoff- oder Komposit-Veneers zeigen eine deutlich geringere Haltbarkeit von nur fünf bis bestenfalls zehn Jahren.
Spezialisten für Veneers in Köln
In unserer zahnärztlichen Praxis Dr. Melchior & Team im Kölner Mediapark besitzen wir eine langjährige Erfahrung in der ästhetischen Zahnheilkunde und bei der Versorgung mit Veneers aller Art.
Dank einer modern ausgestatteten Zahnarztpraxis, der umfangreichen Expertise unseres Zahnarztes Dr. med. dent. André Melchior sowie intensiver persönlicher Beratung erzielen wir dabei immer Behandlungsergebnisse, die Sie überzeugen werden. Doch was genau erwartet Sie bei einer Behandlung mit Veneers?

Behandlungsablauf für Veneers – schmerzfrei und schonend
Wir führen mit Ihnen vorab ein Beratungsgespräch, um Ihre individuellen Bedürfnisse und Wünsche zu verstehen. Die Versorgung mit Veneers in unserer Zahnarztpraxis im Mediapark folgt dann grundsätzlich immer diesem Behandlungsablauf:
- Zuerst reinigen wir Ihre Zähne sorgfältig im Rahmen einer professionellen Zahnreinigung (PZR). Sie dient hier zur Vorbereitung, bietet Ihnen ansonsten aber auch immer Prophylaxe für den Zahnerhalt.
- Im Anschluss kümmern wir uns um eventuelle Zahnkrankheiten und Kariesschäden.
- Anhand eines Abdrucks Ihrer Zähne und Röntgenaufnahmen modellieren unsere Zahntechniker dann Entwürfe Ihrer Veneers, die Ihnen genau zeigen, wie die Versorgung aussehen und funktionieren wird.
- Passt alles, fertigen unsere erfahrenen Dentaltechniker die echten Veneers.
- Diese setzen wir bei einem weiteren Zahnarztbesuch sanft und schmerzfrei auf Ihre Zähne auf, woraufhin Sie unsere Zahnarztpraxis in Köln mit Veneers und einem perfekten, strahlenden Lächeln im Gesicht verlassen können.
Ist eine Behandlung mit Veneers auch bei vorhandenen Brücken oder Kronen möglich?
Viele Patientinnen und Patienten, die sich Veneers in Köln wünschen, haben bereits Zahnersatz in Form von Brücken oder Kronen. Diese erfüllen zwar ihre Funktion, aber entsprechen nicht immer den eigenen ästhetischen Ansprüchen.

Gerade mit Non-Prep-Veneers ist auch für diese Brücken oder Kronen in vielen Fällen eine optische Verbesserung möglich. Gern schätzen wir diese Möglichkeiten für Sie ein und beraten Sie dazu näher.
Und was kostet das Ganze?
Veneers-Kosten
Die Veneers-Kosten oder die Veneers-Preise richten sich in erster Linie nach der Art der gewünschten Veneers und der damit verbundenen Behandlung.
Hochwertige Keramik-Veneers mit Vorbehandlung oder Non-Prep-Veneers und Lumineers bilden immer die beste und ästhetisch überzeugendste Lösung. Deswegen fallen hierfür höhere Kosten an als bei anderen Veneer-Arten.
Veneers-to-Go oder Komposit-Veneers sind durchweg günstiger. Dieser Kostenvorteil ist für Patientinnen und Patienten dann aber später mit ästhetischen Nachteilen oder einer deutlich geringeren Haltbarkeit verbunden.
Zahlen die Krankenkassen Veneers in Köln?
Veneers gelten im Leistungskatalog der gesetzlichen Krankenkassen nicht als notwendiger Zahnersatz oder Regelversorgung für Zahnbeeinträchtigungen und -defekte. Deswegen erhalten Sie für Veneers von Ihrer Krankenkasse auch keinerlei Zuschüsse. Die Kosten müssen immer vollständig selbst getragen werden.
Bei einer privaten Krankenversicherung hängt die Kostenübernahme von der Versicherungspolice und dem vereinbarten Versicherungsumfang ab. Hier werden die Kosten für Veneers aber häufiger übernommen.
Hilft eine Zahnzusatzversicherung bei den Kosten für Veneers?
Für Zahnzusatzversicherungen gilt das Gleiche wie für private Krankenversicherungen: Der gewählte Tarif entscheidet, ob die Kosten für Veneers getragen werden. Gesetzlich Versicherte finden hier aber einige Zahnzusatzversicherungen, die neben den Kosten für moderne Diagnostik und Zahnarztbehandlungen oder hochwertigen Zahnersatz auch die Versorgung mit ästhetischen Veneers zu großen Teilen oder vollständig bezahlen.
Sie haben noch weitere Fragen zu Veneers? Unsere Zahnärzte im Mediapark Köln Dr. Melchior & Team informieren Sie gern und jederzeit persönlich: Hier erhalten Sie dazu Ihren Termin.